Super stoked to announce that Dr. Arun Kalyanasundaram has proctored India's first laser atherectomy at JNM Hospital, Raipur.

Super stoked to announce that Dr. Arun Kalyanasundaram has proctored India's first laser atherectomy at JNM Hospital, Raipur.

  • Home
  • Super stoked to announce that Dr. Arun Kalyanasundaram has proctored India's first laser atherectomy at JNM Hospital, Raipur.

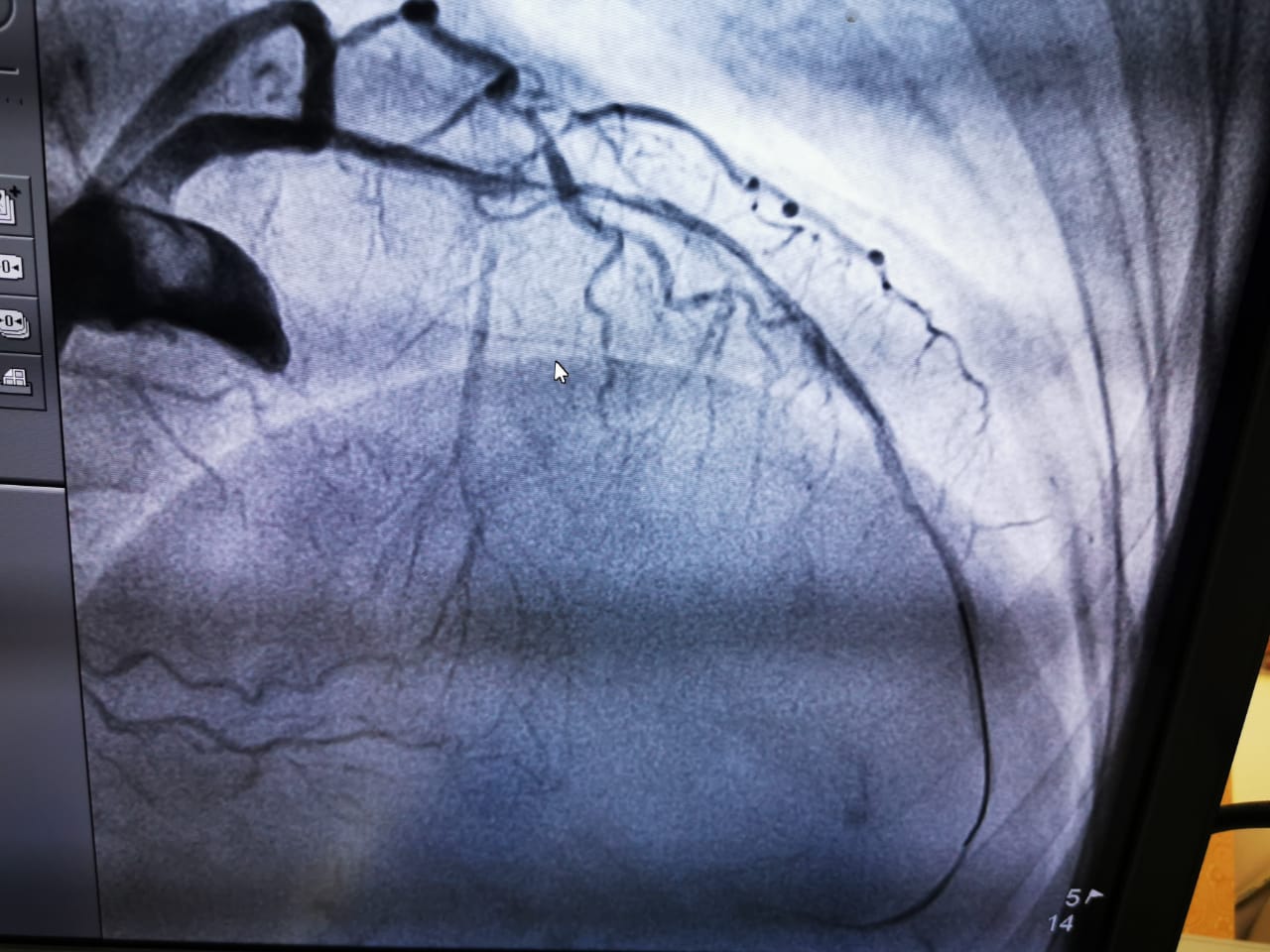
It gives us immense pleasure to have witnessed India’s First laser atherectomy (Lad uncrossable with balloon, Laser 0.9 and 1.4 ELCA) at JNM hospital Raipur chattisgargh with Dr Smit Srivastava, proctored by Dr. Arun Kalyanasundaram. We thank everyone who participated in this event and made it possible!